
Distal Radius Fracture Surgery
in Durango, Colorado
Dr. Brian Butzen remembers the call from Purgatory Resort like it was yesterday. A snowboarder had taken a hard fall, instinctively putting out her hand to break the impact. The result? A shattered distal radius—the larger of the two bones in her forearm, right where it meets the wrist. Since 2013, this board-certified, fellowship-trained orthopedic surgeon has treated hundreds of similar wrist injuries throughout Durango and the Four Corners region, including Durango, Pagosa Springs and Cortez, Colorado, and Farmington, New Mexico. His expertise in distal radius fracture surgery has helped everyone from weekend skiers to local contractors get back to doing what they love, often stronger than before their injury.
What is a Distal Radius Fracture?

A distal radius fracture is the medical term for what most people call a broken wrist. It's the most common type of wrist fracture, and one of the most common broken bones Dr. Butzen treats at his Durango practice. This occurs commonly with a fall on the outstretched hand (FOOSH), and usually there are outward signs of injury like pain, swelling, or deformity. With an injury like this with less severe symptoms, there can be many other causes of pain.
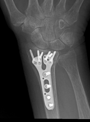
Your wrist is like the foundation of a house—when it's damaged, everything above it suffers. The distal radius is the bigger bone on the thumb side of your forearm, and it bears most of the weight when you put your hand down. When this bone breaks near the wrist joint, it's called a distal radius fracture.
"I see these injuries all the time," says Dr. Butzen from his practice at Animas Orthopedic Associates. "Someone slips on ice in Durango's winter weather, or takes a tumble mountain biking on the trails around Cortez. The natural reaction is to catch yourself with your hands."
Why Patients Choose Dr. Butzen for Wrist Fracture (Broken Wrist) Surgery
Double Board-Certified Expertise
Dr. Butzen holds board certifications from the American Board of Orthopedic Surgeons in both orthopedic surgery AND hand surgery. This dual certification means he's met the highest standards in both fields — something few surgeons in the region can claim.
Fellowship-Trained Hand and Wrist Specialist
After completing his orthopedic residency, Dr. Butzen pursued additional fellowship training focused specifically on hand and upper extremity surgery. This extra year of specialized education shows up in the details — precise bone alignment, careful soft tissue handling, and techniques that minimize scarring.
Direct Access to Your Surgeon
Unlike many practices where you communicate through staff, Dr. Butzen gives patients his direct email and cell phone. Questions about your recovery? Text him. Concerned about something after hours? He's available. This level of access is rare in medicine.
Animas Surgical Hospital Advantage
Dr. Butzen performs wrist fracture surgery at Animas Surgical Hospital, which consistently earns the highest patient satisfaction ratings in the Durango area. The facility's focus on orthopedic procedures means better equipment, experienced surgical teams, and smoother recoveries.
Over a Decade Serving the Four Corners
Since 2013, Dr. Butzen has treated hundreds of wrist fractures throughout Durango, Farmington, Cortez, and Pagosa Springs. He understands the local lifestyle — the skiing injuries, the mountain biking falls, the construction accidents — and tailors treatment to get you back to your life. Read some of his patient testimonials here.
Do You Need Surgery for a Broken Wrist?
Not every distal radius fracture requires surgery. Dr. Butzen has seen plenty of simple breaks that heal well with just a cast. In his Durango office he is regularly casting these less severe injuries.
Here are the reasons why some wrist fractures need more help:
When the Bones Move Out of Place
If the broken pieces shift and don't line up properly, your wrist won't work right when it heals. Think of it like trying to build with crooked blocks—everything becomes unstable.
Multiple Fracture Pieces
Sometimes the bone breaks into several pieces, like a puzzle that needs to be put back together. A cast alone can't hold all these pieces in the right spot. These injuries happen with a high energy fall, like when a cyclist falls from their mountain bike at the Horse Gulch Trails in Durango.
Joint Surface Damage
When the break goes into the joint where your wrist bends, perfect alignment becomes even more important. Even small gaps can cause arthritis later.
Unstable Fractures
Some breaks are so unstable that they'll shift even in a cast. These need internal support to heal properly.
Get Your Wrist Fracture Evaluated
If you've fallen and your wrist hurts, don't wait to find out if it's broken. What feels like a sprain could be a fracture that needs treatment. Dr. Butzen offers same-day evaluations for urgent injuries at his Durango clinic.
Dr. Butzen recalls a patient from Farmington who waited too long to get treatment: "Her wrist healed crooked, and she couldn't turn a doorknob without pain. We had to re-break it and fix it properly—something that could have been avoided with early surgery."
Common Concerns About Wrist Fracture Surgery
Will I need the hardware removed later?
Most plates and screws stay in permanently. They're made from materials that your body accepts well. Removal is only needed if they cause problems, which is rare.
What about nerve damage during surgery?
Dr. Butzen takes great care to protect the nerves around your wrist during surgery. Permanent nerve problems are uncommon with modern techniques. For more information about nerve repair surgery, click here.
Will my wrist be as strong as before?
Most patients regain full strength, and many feel their wrist is actually more stable after healing. The metal plate provides additional support.
Can I still do sports after wrist surgery?
Dr. Butzen has helped countless patients return to skiing, mountain biking, and other activities popular in the Four Corners region. Some modifications might be needed initially, but most people get back to their favorite activities.
How long until I can work again?
Recovery time depends on your job. Desk workers often return within a few weeks, and sometimes even sooner. Jobs requiring grip strength or heavy lifting typically need from 6 weeks to 3 months for full return.
When is a wrist fracture an emergency?
Some wrist fractures are medical emergencies. Dr. Butzen recommends immediate evaluation if you have:
-
Obvious deformity of the wrist
-
Numbness or tingling in your fingers
-
Inability to move your fingers normally
-
Signs of poor circulation in your hand
Living with Hardware
Most patients adapt quickly to having plates and screws in their wrist. The hardware becomes part of you, like a dental filling. You might feel it if you press on the area, but it rarely interferes with daily activities.
Cold weather in Durango sometimes makes the hardware feel different, but this doesn't mean anything is wrong. Your wrist may feel stiff on very cold mornings, but movement quickly warms things up. Occasionally, a tendonitis can develop, and if so, you should discuss this with Doctor Butzen, to avoid a tendon injury, necessitating tendon repair surgery.
Prevention and Future Health
While accidents happen, Dr. Butzen shares some wisdom from treating hundreds of wrist injuries:
-
Use proper protective gear for sports
-
Keep walkways clear of ice and snow
-
Strengthen your core and improve balance to prevent falls
-
Don't ignore wrist pain that develops gradually
The Real Recovery Timeline
When treating his patients in Durango, Dr. Butzen believes in giving patients realistic expectations about distal radius fracture surgery recovery:
First Two Weeks
Your wrist will be in a splint or cast. Some swelling and discomfort are normal. Most patients can use their fingers right away.
Weeks 2-6
The cast usually comes off around six weeks. X-rays show how the bone is healing. Light activities can begin.
Weeks 6-12
Physical therapy starts. You'll work on getting motion and strength back. This phase requires patience—your wrist has been still for weeks.
Months 3-6
Most people return to normal activities during this time. Heavy lifting and impact activities are usually the last things to come back.
A local Durango restaurant owner told Dr. Butzen, "I was worried I'd never be able to prep food the same way. Six months after surgery, I'm back to chopping vegetables and lifting heavy pots. My wrist actually feels more stable than before I broke it."
The Durango Advantage for
Wrist Fracture Treatment
Getting your distal radius fracture surgery in Durango means you don't have to travel hours for expert care. Dr. Butzen's practice provides:
-
Same-day evaluations for urgent injuries
-
Coordination with emergency departments in Durango, Cortez, and Pagosa Springs
-
Access to excellent hand therapy right here in the Four Corners
-
Follow-up care close to home
If you've suffered a wrist injury, don't wait to get it evaluated. What seems like a simple sprain could be a distal radius fracture that needs treatment.
Dr. Butzen's approach combines technical expertise with genuine care for his patients. His years of experience in Durango have taught him that successful treatment goes beyond just fixing the bone—it's about understanding how the injury affects your life and helping you get back to living it fully.
The mountains and mesas of the Four Corners region offer endless opportunities for adventure. Don't let a wrist injury keep you on the sidelines longer than necessary. Expert distal radius fracture surgery is available right here in Durango, helping you get back to the activities that make this area such a special place to live.
Take the first step toward expert care and lasting relief
_edited.png)